发布日期:2026-02-15 21:33 点击次数:118

近日,舟师军医大学第三附庸病院(上海东方肝胆外科病院)在多学科团队合营微创消融诊治复杂部位肝癌鸿沟获取艰苦梗阻,见效为别称不合乎再次手术切除的后生男性患者实行精确微创消融手术,破解复杂部位肝癌诊疗难题,彰显了病院在该鸿沟的期间跳动水平。
钱国军教师团队在手术中
该患者由该院超声介入科钱国军教师收治,此前已给与手术切除等多种诊治,因体内粘连等情况,已不宜从新切除手术。术前评估炫耀,患者肿瘤位于左叶膈顶,老例经皮穿刺旅途无法避让肿瘤前线的血管胆管结构,且呼吸、心跳搏动给消融针精确定位带来极大挑战,稍有失慎便可能误伤膈肌、食管等毗邻艰苦结构,激发严重并发症。
三维成像炫耀术前肿瘤和术后消融区粉饰肿瘤
濒临诊疗窘境,米兰体育官网钱国军教师团队集念念广益、斗胆改变,制定了针对性的个性化诊治决议:提真金不怕火CT影像大数据构建患者专属“数字肝脏”,通过三维重建及透明化处分,明晰清楚肿瘤部位与毗邻组织关联,精确标的安全穿刺旅途;借助内窥镜超声抛弃于肿瘤毗邻食说念段,及时监测穿刺深度及消融范围;术前术后均继承腹部超声造影检查,抢庄牛牛全程保险诊疗养效。
手术当日,在精的确行麻醉后,内镜超声被准确置于肿瘤毗邻食说念部位,超声诊疗科民众通过腹部彩超造影赶紧锁定肿瘤位置。钱国军教师按照预设旅途,在双超声多角度、多界面及时指令下,赶紧将消融针置入肿瘤最好位置并初始消融形状,接近200摄氏度的中心温度使消融区域快速粉饰肿瘤,统共手术仅耗时二十余分钟。
{jz:field.toptypename/}
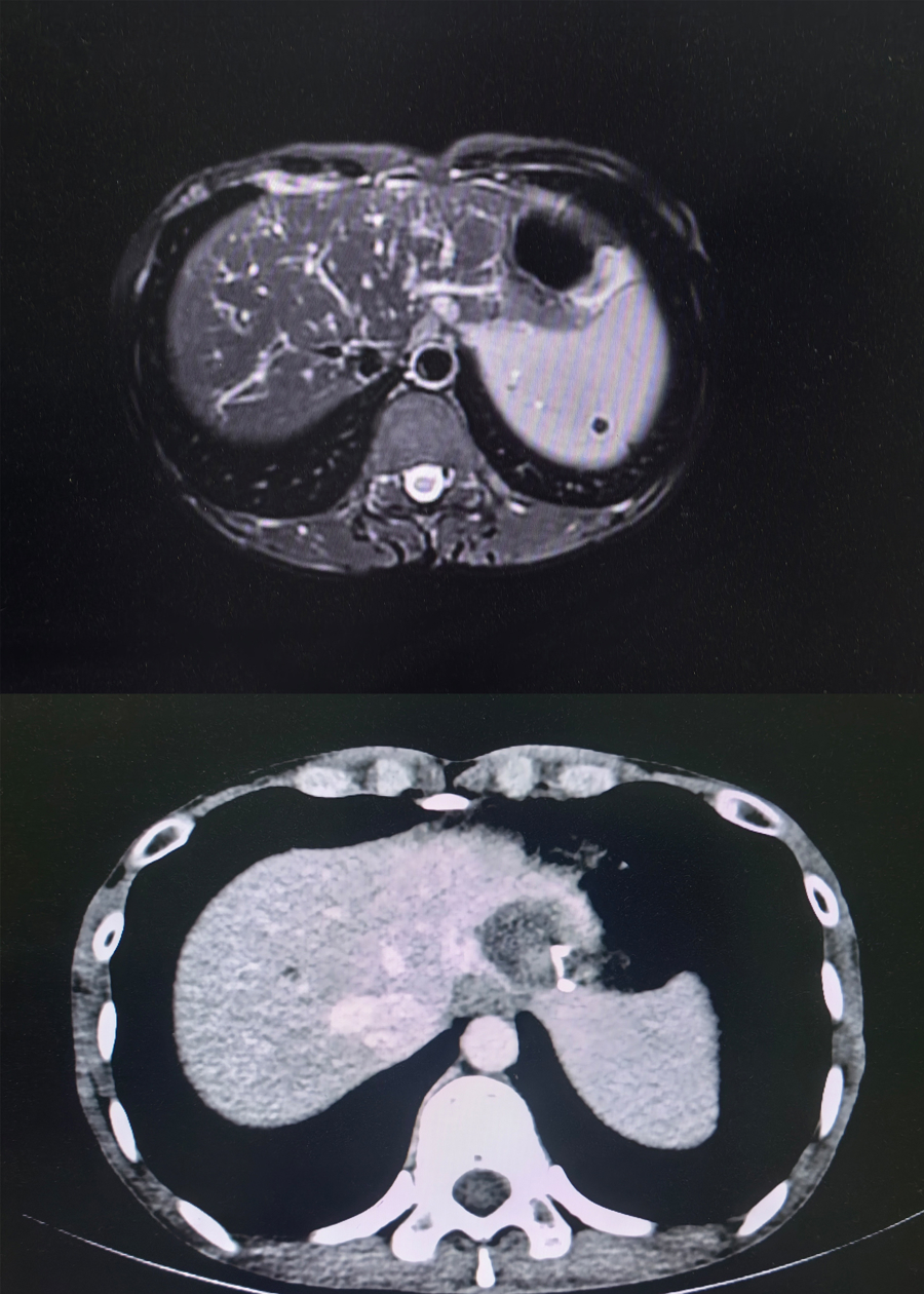
术前术后影像良友对比
术后即时造影阐明,患者肿瘤组织被完好消融,毗邻艰苦器官结构毫发无损,术后增强CT扫描及三维重建检查进一步证实,肿瘤已终了完好消融,手术获取圆满见效。
这次手术的见效实行,不仅为该患者提供了安全灵验的根治性诊治聘用,更记号着病院在多学科合营微创消融诊治复杂部位肝癌鸿沟终了艰苦梗阻,灵验破解了传总揽疗中“看不见、摸不准”的难题,为同类复杂病例的诊疗提供了难得教授,将进一步激动复杂部位肝癌微创诊治期间的发展,惠及更多肝癌患者。